European Union flag

3.4. Epidemiološki lanac i prevencija bolesti

Uvod

Vjerojatno ste čuli za Školu narodnog zdravlja „Andrija Štampar“. Znate li i tko je bio Andrija Štampar? Poznati hrvatski liječnik i utemeljitelj Škole narodnoga zdravlja u Zagrebu smatrao je da je za opće zdravlje zajednice najvažnije obrazovati široke mase ljudi o zdravlju i zaraznim bolestima. U njegovo vrijeme, liječenje su si mogli priuštiti samo imućni, a njegov je cilj bio omogućiti dostupnost liječenja i znanje o zaraznim bolestima svima, uključujući i najsiromašnije. Tiskao je informativne letke, a snimao je čak i filmove da bi na razumljiv način prenio svoje poruke i onima koji su bili nepismeni. Na mrežnim stranicama pronađite deset Štamparovih principa i komentirajte zašto su ti principi i danas temelj javnoga zdravstva i zašto je točno i pravovremeno informiranje ljudi o zaraznim bolestima važno za čitavo ljudsko društvo.

Vjerojatno ste čuli za Školu narodnog zdravlja „Andrija Štampar“.

Znate li i tko je bio Andrija Štampar?

Poznati hrvatski liječnik i utemeljitelj Škole narodnog zdravlja u Zagrebu smatrao je da je za opće zdravlje zajednice najvažnije obrazovati široke mase ljudi o zdravlju i zaraznim bolestima.

U njegovo vrijeme, liječenje su si mogli priuštiti samo imućni.

Štamparov je cilj bio svima omogućiti

  • dostupnost liječenja i
  • znanje o zaraznim bolestima, uključujući i najsiromašnije.

Tiskao je informativne letke, a snimao je čak i filmove da bi na razumljiv način prenio svoje poruke i onima koji su bili nepismeni.

Na mrežnim stranicama pronađite deset Štamparovih principa

Komentirajte:

  • zašto su ti principi i danas temelj javnoga zdravstva i
  • zašto je točno i pravovremeno informiranje ljudi o zaraznim bolestima važno za čitavo ljudsko društvo.

Epidemiologija

Javno zdravstvo bavi se sprječavanjem opasnosti za opće zdravlje zajednice. Jedna od grana javnoga zdravstva jest epidemiologija – znanost koja se bavi pitanjem koliko se često neke bolesti pojavljuju u različitim ljudskim zajednicama i koji su uzroci pojavljivanja tih bolesti.

Javno zdravstvo bavi se sprječavanjem opasnosti za opće zdravlje zajednice.

Jedna od grana javnoga zdravstva jest epidemiologija.

Epidemiologija je znanost koja proučava

  • koliko se često neke bolesti pojavljuju u različitim ljudskim zajednicama i
  • koji su uzroci pojavljivanja tih bolesti.
Endemija, epidemija i pandemija

Pogledajte primjere rasprostranjenosti malarije i COVID-19 bolesti u svijetu te probajte opisati razliku između endemije, epidemije i pandemije.


Većina je bolesti sporadična – pojavljuje se povremeno i nije ograničena na određeno geografsko područje, već se može pojaviti bilo gdje u svijetu. Ako se bolest najčešće, ili opetovano, pojavljuje uvijek na određenom geografskom području, nazivamo ju endemija. Ponekad broj oboljelih u zajednici na određenome području naglo naraste iznad očekivanoga za tu zajednicu pa takvu bolest nazivamo epidemija. Ako epidemija poprimi šire razmjere i proširi se u velikom broju zemalja ili obuhvati cijeli svijet, postaje pandemijaPogledajte galeriju fotografija u kojoj su prikazani uzročnici nekih zarazih bolesti. Na temelju opisa slika za svaku bolest čiji je uzročnik prikazan na slici zaključite radi li se o endemiji, epidemiji ili pandemiji.

Većina je bolesti sporadična:

  • pojavljuju se povremeno i
  • nisu ograničene na određeno geografsko područje i
  • mogu se pojaviti bilo gdje u svijetu.

Endemija je bolest koja se najčešće, ili opetovano, pojavljuje uvijek na određenome geografskome području.

Epidemija je naglo obolijevanje većega broja ljudi u zajednici na određenome području iznad broja očekivanoga za tu zajednicu.

Pandemija je pojava bolesti u širim razmjerima kada se bolest proširi u velikom broju zemalja ili obuhvati cijeli svijet.

Pogledajte galeriju fotografija u kojoj su prikazani uzročnici nekih zarazih bolesti.

  • Na temelju opisa slika za svaku bolest čiji je uzročnik prikazan na slici zaključite radi li se o endemiji, epidemiji ili pandemiji
Uzročnici nekih zaraznih bolesti
Bolest spavanja uzrokovana parazitskom praživotinjom prisutna je već dugi niz godina u nekim dijelovima Afrike.
Zika virus 2015. godine proširio se Sjevernom i Južnom Amerikom te nekim dijelovima jugoistočne Azije.
Velike boginje su bolest uzrokovana virusom koja je ubila oko 300 milijuna ljudi samo tijekom 20. stoljeća. Tek 1980. godine širenje bolesti je zaustavljeno zahvaljujući procjepljivanju dovoljnog broja ljudi u svijetu.

Brzina širenja epidemije ovisi, između ostaloga, o reprodukcijskom broju (R0). Taj broj označava na koliko će prosječno ljudi jedna zaražena osoba prenijeti bolest. Epidemije uzrokuju patogeni čiji je R0 veći od jedan, a eksponencijalan rast broja oboljelih uzrokuju patogeni čiji je R0 veći od dva. Jedna od iznimno zaraznih bolesti jesu ospice; njihov R0 iznosi od 12 do 18. Na mrežnim stranicama istražite zašto se u posljednje vrijeme u nekim zemljama javljaju epidemije ospica. Primjer mrežnih stranica na kojima možete pronaći provjerene informacije o zarazi ospicama su stranice Hrvatskog zavoda za javno zdravstvo (HZJZ).

Brzina širenja epidemije ovisi, između ostaloga, o reprodukcijskom broju (R0).

Broj (R0) označava na koliko će prosječno ljudi jedna zaražena osoba prenijeti bolest.

  • Epidemije uzrokuju patogeni čiji je R0 veći od jedan, a
  • eksponencijalan rast broja oboljelih uzrokuju patogeni čiji je R0 veći od dva.

Jedna od iznimno zaraznih bolesti jesu ospice; njihov R0 iznosi od 12 do 18.

 

Na mrežnim stranicama istražite zašto se u posljednje vrijeme u nekim zemljama javljaju epidemije ospica.

Primjer mrežnih stranica na kojima možete pronaći provjerene informacije o zarazi ospicama su stranice Hrvatskog zavoda za javno zdravstvo (HZJZ).

Reprodukcijski broj virusa

U sljedećem zadatku u padajućem izborniku odaberite jednu od triju navedenih zaraznih bolesti i promotrite brzinu širenja te bolesti u populaciji tijekom pet dana. Za svaku bolest naveden je reprodukcijski broj (R0). Kada dođete do petoga dana širenja bolesti, imate mogućnost provjeriti što bi se dogodilo da su neke osobe, koje su u zadatku zaražene drugi dan epidemije, bile cijepljene ili na neki drugi način prevenirale bolest.  

BOLEST:

R0:

DAN:

BROJ OBOLJELIH:

Što bi se dogodilo s epidemijom da je neka od osoba redovito prala ruke i držala se drugih mjera prevencija?

Što bi se dogodilo s epidemijom da je neka od osoba bila cijepljena prije nego se zarazila?

Što bi se dogodilo s epidemijom da je neka od osoba bila cijepljena prije nego se zarazila?

Kliknite na jednu ili više osoba da provjerite.

Epidemiološki lanac

Ako ste posjetili NP Brijune, možda ste vidjeli i spomenik njemačkome liječniku i mikrobiologu Robertu Kochu. Osim što je pronašao uzročnika tuberkuloze i kolere, Koch je zaslužan i za razvoj mnogih laboratorijskih mikrobioloških tehnika. 

Slika 3.4.1.: Robert Koch, njemački liječnik i bakteriolog

Početkom 20. stoljeća, Robert Koch došao je na Brijune, na poziv tadašnjega vlasnika otoka, kako bi pokušao suzbiti zaraznu bolest malariju proširenu po otoku. Nakon dvije godine istraživanja, Koch i njegovi suradnici uspjeli su suzbiti širenje malarije na Brijunima. S obzirom na to da je uzročnik malarije praživotinja koja dio svoga životnog ciklusa provodi u komarcu, a dio u eritrocitima čovjeka, jedna od mjera koje su provodili Koch i suradnici bila je isušivanje močvara. Na taj se način smanjio broj komaraca koji su prenosili bolest na ljude jer se ličinke komaraca razvijaju u vodi.

Slika 3.4.2.: Eritrociti čovjeka zaraženi uzročnikom malarije

Za uspješno suzbijanje epidemije, kao što je to učinio Koch, potrebno je poznavanje epidemiološkoga lanca. Epidemiološki lanac pokazuje koji sve uvjeti, predstavljeni kao karike epidemiološkoga lanca, trebaju biti ispunjeni da bi se neka zarazna bolest mogla pojaviti i nakon toga širiti. 

Ako ste posjetili NP Brijune, možda ste vidjeli i spomenik njemačkome liječniku i mikrobiologu Robertu Kochu.

Robert Koch je:

  • pronašao uzročnika tuberkuloze i kolere i
  • zaslužan je i za razvoj mnogih laboratorijskih mikrobioloških tehnika.

Gospodin Koch prikazan poluprofilno, pročelave je glave, kratke sijede kose s brkovima i kratkom bradom. Nosi male ovalne naočale tankih okvira. Ispod sakoa i prsluka vidi se bijela košulja visokog ovratnika na kojem je svezana leptir mašna.

Slika 3.4.1.: Robert Koch, njemački liječnik i bakteriolog

Početkom 20. stoljeća, Robert Koch došao je na Brijune na poziv tadašnjega vlasnika otoka.

Koch je došao na Brijune kako bi pokušao suzbiti zaraznu bolest malariju proširenu po otoku.

  • Nakon dvije godine istraživanja, Koch i njegovi suradnici uspjeli su suzbiti širenje malarije na Brijunima.
  • S obzirom na to da je uzročnik malarije praživotinja koja dio svoga životnoga ciklusa provodi u komarcu, a dio u eritrocitima, jedna od mjera koje su provodili Koch i suradnici bila je isušivanje močvara.
  • Na taj se način smanjio broj komaraca koji su prenosili bolest na ljude jer se ličinke komaraca razvijaju u vodi.

Na ružićastoj površini nalazi se mnoštvo ružičastih, okruglih, po sredini udubljenih tjelešaca (eritrociti).Na nekoliko mjesta vide se okrugle kuglice smještene u bež omotačima (uzročnici malarije). Na nekim eritrocima nalazi se po jedna žuta kuglica (uzročnik malarije).

Slika 3.4.2.: Eritrociti čovjeka zaraženi uzročnikom malarije

Za uspješno suzbijanje epidemije, kao što je to učinio Koch, potrebno je poznavanje epidemiološkoga lanca.

Epidemiološki lanac pokazuje koji sve uvjeti, predstavljeni kao karike epidemiološkoga lanca, trebaju biti ispunjeni da bi se neka zarazna bolest mogla pojaviti i nakon toga širiti.

Epidemiološki lanac

U sljedećem zadatku prikazane su karike epidemiološkoga lanca s primjerima mogućih članova svake karike za neku bolest. Kada pokrenete zadatak, slučajnim odabirom pojavit će vam se neka zarazna bolest za koju trebate odrediti sve članove svih karika u epidemiološkome lancu. Za svaku od navedenih bolesti razmislite u kojim bi se karikama najlakše mogao razbiti epidemiološki lanac. U kojoj je karici Robert Koch razbio epidemiološki lanac i iskorijenio malariju s Brijuna?

Uzročnik zaraze
Prijemljivost domaćina
Izvor zaraze
Ulazno mjesto
Put prijenosa

Prevencija i liječenje zaraznih bolesti

Proučite galeriju slika osoba koje kišu i obrazložite koje od prikazanih načina kihanja preporučuju liječnici kako bi se spriječilo širenje zaraznih bolesti.

  • Proučite galeriju slika osoba koje kišu i
  • obrazložite koje od prikazanih načina kihanja preporučuju liječnici kako bi se spriječilo širenje zaraznih bolesti.
Kako treba kihati?

Vjerojatno već puno toga znate o jednoj od najvećih pandemija u novije doba, pandemiji COVID-19 bolesti. Navedite načine kako štitite sebe i svoje bližnje od te bolesti, a zatim pogledajte videozapis o trenutno dostupnim načinima zaštite da biste provjerili provodite li sve mjere zaštite.

Vjerojatno već puno toga znate o jednoj od najvećih pandemija u novije doba, pandemiji COVID-19 bolesti.

  • Navedite načine kako štitite sebe i svoje bližnje od te bolesti, a zatim
  • pogledajte videozapis o trenutno dostupnim načinima zaštite da biste provjerili provodite li sve mjere zaštite.
Na početku videozapisa prikazan je korona virus koji je kuglastog oblika. Zatim je prikazana usporena snimka kihanja čovjeka na kojoj se vidi kako se sitne kapljice šire na veliku udaljenost. Slijedi nekoliko crteža koji prikazuju mjere prevencije: kihanje u savinuti lakat, pranje ruku sapunom, izbjegavanje diranja lica neopranim rukama, držanje distance od drugih osoba te izbjegavanje doticaja s drugim ljudima ukoliko osoba ima simptome bolesti.
Usporedba prevencije infekcije HIV-om i gripe

Infekcija HIV-om također je danas prisutna pandemija koja se proširila 80-ih godina prošloga stoljeća, a prvenstveno se prenosi krvlju. U sljedećem zadatku iskoristite svoje poznavanje epidemiološkoga lanca te odredite na koji je način moguće prevenirati infekciju HIV-om, a na koji način infekciju gripom.

Prevencija infekcije HIV-om
Prevencija gripe

Jedna od najboljih mjera prevencije virusnih, ali i nekih bakterijskih bolesti jest cijepljenje. Cijepljenje preventivno štiti od zaraznih bolesti jer stvara imunitet na određene patogene od kojih mnogi uzrokuju teške i često smrtonosne bolesti. Cijepljenjem se u organizam unosi antigen uzročnika određene zarazne bolesti koji potiče imunološki sustav da stvara protutijela na taj antigen. Tako se organizam unaprijed opskrbljuje zaštitom u slučaju zaraze. Brojne svjetske epidemije i pandemije zaustavljene su upravo zahvaljujući procjepljivanju dovoljnoga broja ljudi u populaciji da se stvori „imunitet krda“. Na taj način od bolesti su zaštićeni i oni najugroženiji među nama koji se zbog određenih razloga ne smju cijepiti. Otkriće antibiotika predstavljalo je glavnu prekretnicu u prevenciji i liječenju zaraznih bolesti uzrokovanih bakterijama. U prvoj polovici 20. stoljeća Alexander Fleming uočio je kako zelena plijesan kistac (Penicillium) luči tvar koja ubija određene bakterije te tako pronašao prvi prirodni antibiotik koji je nazvao penicilin. Antibiotici predstavljaju revoluciju u razvoju medicine 20. stoljeća.

Cijepljenje je jedna od najboljih mjera prevencije virusnih, ali i nekih bakterijskih bolesti.

  • Cijepljenje preventivno štiti od zaraznih bolesti jer stvara imunitet na određene patogene od kojih mnogi uzrokuju teške i često smrtonosne bolesti.
  • Cijepljenjem se u organizam unosi antigen uzročnika određene zarazne bolesti koji potiče imunološki sustav da stvara protutijela na taj antigen.
  • Tako se organizam unaprijed opskrbljuje zaštitom u slučaju zaraze.

Brojne svjetske epidemije i pandemije zaustavljene su upravo zahvaljujući procjepljivanju dovoljnoga broja ljudi u populaciji da se stvori „imunitet krda“.

Na taj način od bolesti su zaštićeni i oni najugroženiji među nama koji se zbog određenih razloga ne smju cijepiti.

Otkriće antibiotika predstavljalo je glavnu prekretnicu u prevenciji i liječenju zaraznih bolesti uzrokovanih bakterijama.

  • U prvoj polovici 20. stoljeća Alexander Fleming uočio je kako zelena plijesan kistac (Penicillium) luči tvar koja ubija određene bakterije.
  • Tako je pronašao prvi prirodni antibiotik koji je nazvao penicilin.

Antibiotici predstavljaju revoluciju u razvoju medicine 20. stoljeća.

Otkriće antibiotika
Aleksandar Fleming, škotski mikrobiolog
Kistac je zelena plijesan koja se često razvija na agrumima.
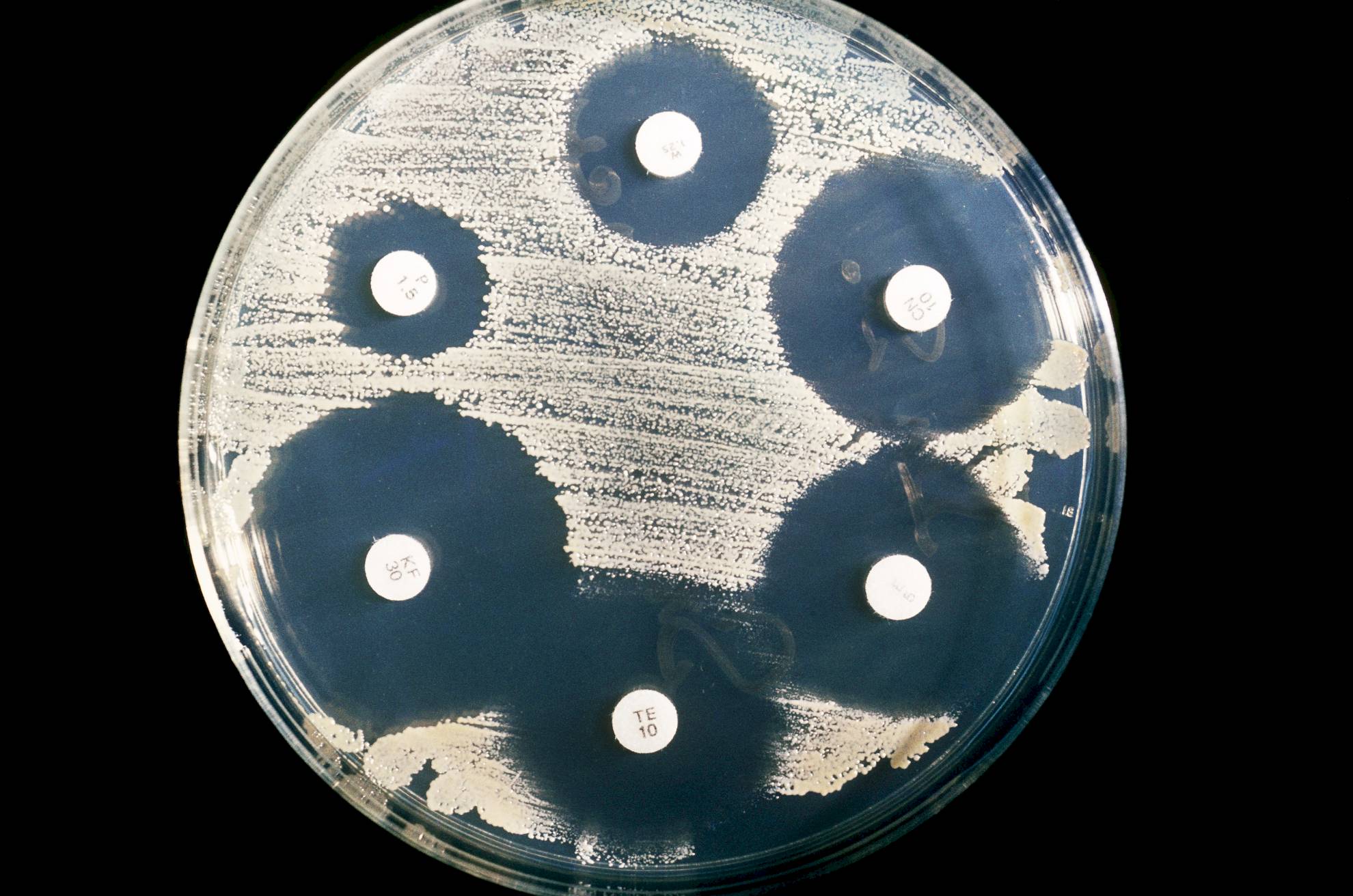
Antibiogram je metoda određivanja učinkovitosti antibiotika protiv neke bakterije. Što je veća zona oko antibiotika u kojoj nema rasta bakterija, to je antibiotik učinkovitiji.
 

„Epidemije“ nezaraznih bolesti

Osim zaraznih bolesti, svijet je u današnje vrijeme sve više zahvaćen i epidemijom kroničnih nezaraznih bolesti. Nabrojite neke od kroničnih bolesti. Kronične bolesti mogu biti genetski predodređene, no bez obzira na to, njihov razvoj i ishod uvelike ovisi o životnim navikama čovjeka. Užurbani način života koji uzrokuje neizbježan stres, manjak vremena koji rezultira lošom ishranom, tjelesna neaktivnost, pušenje, pretjerana konzumacija alkohola – sve to utječe na razvoj i učestalost bolesti srca i krvnih žila, šećerne bolesti i bolesti dišnih puteva. Navedite neke od bolesti srca i krvnih žila.

Osim zaraznih bolesti, svijet je u današnje vrijeme sve više zahvaćen i epidemijom kroničnih nezaraznih bolesti.

Nabrojite neke od kroničnih bolesti.

Kronične bolesti mogu biti genetski predodređene.

Bez obzira na to, njihov razvoj i ishod uvelike ovisi o životnim navikama čovjeka.

Razvoj i učestalost bolesti srca i krvnih žila, šećerne bolesti i bolesti dišnih puteva često su uzrokovane:

  • užurbanim načinom života koji uzrokuje stres,
  • manjkom vremena koji rezultira lošom ishranom,
  • tjelesnom neaktivnošću,
  • pušenjem i
  • pretjeranom konzumacijom alkohola.

 

Navedite neke od bolesti srca i krvnih žila.

Epidemije nezaraznih bolesti
Česta konzumacija brze hrane može potaknuti razvoj bolesti srca i krvnih žila.
Bolesti dišnog sustava često su uzrokovane pušenjem, stresom i manjkom tjelesne aktivnosti.

Za kraj...

  • Epidemiologija se bavi proučavanjem učestalosti pojave zaraznih bolesti, brzinom i uzrocima njihovoga širenja u populaciji te mjerama kojima se širenje bolesti može zaustaviti. 
  • Bolesti koje su dugo vremena prisutne na nekom ograničenome geografskom području nazivaju se endemije. Ako se bolest naglo pojavi i ubrzano širi nazivamo ju epidemija, a ukoliko bolest zahvati populaciju cijeloga kontinenta, ili čak i više kontinenata, naziva se pandemija.
  • Epidemiolozima zaustavljanje širenja zaraznih bolesti omogućuje poznavanje epidemiološkog lanca. Epidemiološki lanac čine karike koje su neophodne za nastanak i širenje bolesti pa se djelovanjem na jednu od karika može zaustaviti daljnje širenje bolesti.
  • Najučinkovitija je mjera prevencije nekih zaraznih bolesti cijepljenje. Cijepljenjem se u organizam unose oslabljeni uzročnici bolesti koji neće uzrokovati bolest, ali će organizam prepoznati njihove antigene te će stvoriti odgovarajuća protutijela i na taj način omogućiti bržu i učinkovitiju reakciju imunološkoga sustava ukoliko cijepljena osoba ponovno dođe u kontakt s uzročnikom bolesti.
  • Antibiotici su lijekovi učinkoviti protiv bakterijskih bolesti. Prvi je otkriveni antibiotik penicilin, a otkrio ga je Aleksandar Fleming. 
  • Epidemiologija se bavi proučavanjem učestalosti pojave zaraznih bolesti, brzinom i uzrocima njihovoga širenja u populaciji te mjerama kojima se širenje bolesti može zaustaviti.
  • Endemije su bolesti koje su dugo vremena prisutne na nekom ograničenome geografskome području.
  • Epidemija nastaje ako se bolest naglo pojavi i ubrzano širi.
  • Pandemija nastaje ukoliko bolest zahvati populaciju cijeloga kontinenta ili čak i više kontinenata.
  • Epidemiolozima zaustavljanje širenja zaraznih bolesti omogućuje poznavanje epidemiološkog lanca.
  • Epidemiološki lanac čine karike koje su neophodne za nastanak i širenje bolesti. Djelovanjem na jednu od karika može se zaustaviti daljnje širenje bolesti.
  • Cijepljenje je najučinkovitija mjera prevencije nekih zaraznih bolesti. Cijepljenjem se u organizam unose oslabljeni uzročnici bolesti koji neće uzrokovati bolest, ali će organizam prepoznati njihove antigene. Organizam će cijepljenjem stvoriti odgovarajuća protutijela. Na taj će način omogućiti bržu i učinkovitiju reakciju imunološkoga sustava ukoliko cijepljena osoba ponovno dođe u kontakt s uzročnikom bolesti.
  • Antibiotici su lijekovi učinkoviti protiv bakterijskih bolesti. Prvi je otkriveni antibiotik penicilin, a otkrio ga je Aleksandar Fleming.
3.3. Narušavanje homeostaze 3.4. Epidemiološki lanac i prevencija bolesti