Osnove genetike
- opisati osnovne zakonitosti nasljeđivanja
- razlikovati stečena od naslijeđenih svojstva
- razlikovati recesivna od dominantnih svojstava
- opisati ulogu spolnih kromosoma u određivanju spola
- razlikovati mutacije od modifikacija te opisati njihov utjecaj na evoluciju
- opisati moguće uzroke genskih poremećaja i bolesti te njihov utjecaj na kvalitetu života.
- povezivati građu i ulogu organa / organskih sustava ukazujući na njihovu promjenjivost, usložnjavanje i prilagodbe.
Uvod
Kada se rodi dijete u nekoj obitelji, obično krenu razgovori: na koga ima nos, oči, prste, usta i obično to ide u nedogled. Pri tome se ne ističe što uzrokuje pojavu određenog svojstva, već samo svojstvo.
Danas se znaju temeljne postavke na kojima počiva nasljeđivanje pojedinih svojstava.
Kako ćemo izgledati određeno je većinom u trenutku oplodnje.
Određeni su tada i neki poremećaji ili bolesti od kojih možemo oboljeti.
Ipak, na neka svojstva koja se pojavljuju možemo utjecati svojim odlukama, stilom života.
Odgovor na pitanje koja su to svojstva može nam pružiti
Osim genetike, utječu li još neki čimbenici na naše zdravlje i izgled?
Svojim stilom života, odlukama koje donosimo vezanim uz prehranu, kretanje ili neke druge postupke, možemo utjecati na svoj konačni izgled ili zdravlje.
Od graška do genetike
Povijest je prepuna različitih teorija o tome što sve utječe na naš izgled ili ponašanje.
Tako su prisutne teorije o nepoznatim silama, susjedovim vradžbinama ili ponašanjima buduće majke za vrijeme trudnoće.
Danas se zna da su upute za izgradnju ljudskog tijela zapisane u genima.
Predmet zanimanja, proučavanja genetičara su:
- građa,
- struktura i
- djelovanje gena.
S obzirom na to da su geni mali djelići molekule DNA koji se nalaze u jezgrama stanica, njihovo djelovanje je dugo vremena bilo misterija.
Tek razvojem suvremenih metoda omogućen je uvid u taj mikrosvijet.
Začetnikom genetike smatra se Gregor Mendel.
On je živio i djelovao kao redovnik u samostanu u Brnu.
U vrtu samostana uzgajao je za potrebe prehrane redovnika povrće, između ostaloga i grašak.
Proučavanje je provodio kombinirajući oprašivanje graška različitih boja cvjetova te boje i oblika sjemenki i mahuna.
Prateći uzgoj primijetio je neke zakonitosti kod pojavljivanja svojstava kroz generacije kod graška.
Na njegovim postavkama o nasljeđivanju razvila se suvremena genetika.
Naslijediti ili steći?
- Opišite svog prijatelja/prijateljicu osobi u paru. Pri tome upotrijebite što više različitih karakteristika.
- Na isti način neka osoba i vama opiše svog prijatelja.
- Napišite listu navedenih karakteristika na papir.
Opisujući osobu često navodimo niz psihičkih, ali i fizičkih karakteristika. Neke od njih su određene u trenutku oplodnje, a na nastanak nekih utječemo tijekom života svojim odlukama, postupcima.
Prema tome, možemo reći kako su neke karakteristike naslijeđene od roditelja, a neke su stečene određenim stilom života ili utjecajem okoliša.
Unesite odgovore na pripadajuća mjesta.
Želite li pokušati ponovo?
Zadatak:
- Uzmite popis navedenih karakteristika kojima ste opisali prijatelja/prijateljicu i sada ih razvrstajte u tablicu u dva stupca: naslijeđena svojstva i stečena svojstva.
- Raspravite o tome kako je vaš/a prijatelj/prijateljica utjecao na nastanak stečenih svojstva.
Sunčanje- da ili ne?
Sunčanje se danas ne smatra bezopasnom aktivnošću.
Preporuke su liječnika izbjegavanje izlaganju Sunčevim zrakama u periodu od 11 do 16 sati.
Za vrijeme boravka na suncu potrebno je zaštititi se fizički – odjećom, suncobranom, ili kemijski – kremama za sunčanje.
U ljekarni možete zamoliti da vam pomognu odrediti koji tip kože imate te koliko vremena vam se preporučuje biti na suncu bez zaštite.
Prema tom podatku možete otprilike odrediti vrijeme koje možete provesti izlažući se Sunčevim zrakama bez posljedica.
- Potražite informacije o tome koje se bolesti povezuju s pretjeranim izlaganjem Sunčevim zrakama.
Konzumiranje pojedinih namirnica može pomoći u zaštiti kože od štetnih utjecaja Sunčevih zraka, ali neke mogu i izazvati negativnu reakciju.
Potražite informacije o fototoksičnim tvarima.
U tome vam mogu pomoći članci poput Neugodni potpisi Sunca na koži i Izlaganje Suncu kod različitih stanja i bolesti kože.
Kakvo imam uho ili koji mi je gen prevladao?
Gene nasljeđujemo od roditelja.
Geni su upute koje određuju izgled svake stanice u tijelu.
Za svako svojstvo imamo dva gena – jedan naslijeđen od mame, drugi od tate. Te alternativne oblike gena zovemo aleli.
Ti geni ne moraju nositi istu uputu za neko svojstvo, zato i kažemo da su različiti.
Jedan alel za izgled ušne resice može nositi uputu da je ušna resica slobodna, a drugi da je spojena s kožom lica – za takvu resicu kažemo da je srasla.
Imamo li onda dva različita uha? Provjerite!
Neka svojstva određuje više gena, a neka jedan gen.
Onaj alel čije će svojstvo doći do izražaja zovemo dominantan.
Onaj alel čije svojstvo neće doći do izražaja zovemo recesivan.
Dominantan alel prevladava nad recesivnim.
Alel za slobodnu ušnu resicu je dominantan.
Ako neka osoba ima sraslu ušnu resicu, tada možemo reći da je i od mame i od tate naslijedila recesivan alel za sraslu ušnu resicu.
Kad su oba gena za neko svojstvo
Neki geni mogu imati zajedničko djelovanje: npr. boja kose kod čovjeka ili boja cvijeta kod graška.
Kakvo imam uho ili koji mi je gen prevladao?
Upute koji određuju izgled, sastav stanice, organa u tijelu naslijeđene su u obliku gena od roditelja.
Za svako svojstvo naslijeđen je bar jedan gen od majke i gen od oca.
Zaključimo kako za određeno svojstvo imamo po dva gena, tj.
Ta dva gena ne moraju nositi istu uputu za određeno svojstvo.
Tako jedan alel može davati uputu da je ušna resica slobodna, a drugi da je spojena s kožom lica, tj. srasla.
- Znači li to da će jedno uho biti određeno prema jednom, a drugo prema drugom genu ili ne? Provjerite svoje uši.
Onaj alel koji će prevladati i čije svojstvo će doći do izražaja je
Utvrđeno je kako je alel za slobodnu ušnu resicu dominantan. Znači: ako neka osoba ima ušnu resicu koja je srasla, tada sa sigurnošću možemo reći kako je od mame naslijedila alel za sraslu ušnu resicu, kao i od tate.
Ponekad geni koji se naslijede djeluju zajednički – tako se npr. nasljeđuje boja kose kod čovjeka ili, ako se križa grašak čiji je cvijet crvene boje s graškom bijele boje cvijeta, kod potomaka se može pojaviti ružičasta boja cvijeta.
Neka su svojstva određena samo jednim genom, a neka svojstva određena su s više gena koji imaju zajedničko djelovanje.
Ako osoba ima slobodnu ušnu resicu, kakvu ušnu resicu može imati njena mama?
Slobodnu ili sraslu.
Za neka svojstva kombinacije alela moguće je odrediti samo promatrajući osobu.
- Proučite tablicu prikaza dominantnih i recesivnih svojstava.
- Odredite tri svojstva za koja možete odrediti koju kombinaciju alela imate u stanicama.
| Tablica prikaza nekih dominanstnih i recesivnih svojstava kod čovjeka | |
|---|---|
| Dominantno | Recesivno |
| Ušna resica slobodna | Ušna resica srasla |
| Tamna kosa | Svjetla kosa |
| Ravna kosa | Kovrčava kosa |
| Rupica u bradi | Bez rupice u bradi |
| Jamice na obrazima | Baz jamice na obrazima |
| Kratki pristi | Normalna dužina prstiju |
| Više pristiju | Normalan broj prstiju |
| Nemogućnost savijanja palca | Savijanje palca |
| Posljednji članak malog prsta savijen ka domalom | Mali prst ravan |
| Dlačice na srednjem članku prstiju | Odsustvo dlačica na srednjem članku svih prstiju |
| Sposobnost uzdužnog savijanja jezika | Nesposobnost uzdužnog savijanja jezika |
| Normalna usna | Zečja usna |
| Debele usnice | Tanke usnice |
| Lijevi palac preko desnoga | Desni palac preko lijevoga (pri sklopljenim šakama) |
| Kažiprst kraći od četvrtog prsta kod muškaraca | Kažiprst kraći od četvrtog prsta kod žena |
| Drugi nožni prst dulji od palca | Drugi nožni prst kraći od palca |
| Pjegavost (izražena) | Odsustvo pjegavosti |
| Oči pigmentirane: smeđe ili zelene | Oči plave |
| Normalan vid | Kratkovidnost |
| Normalno razlikovanje boja | Sljepoća za boje |
| Normalna pigmentacija | Albinizam – nedostatak pigmenta |
Recesivna svojstva
Označavanje kombinacije alela moguće je pomoću slova.
Tada se
Tako npr. možemo napisati alele tt za osobu tankih usana, a alele Ss za osobu koja nema mogućnost savijanja palca.
Kada se prati određeno svojstvo, često se rade križanja jedinki kroz jednu ili više generacija.
Tada se koriste određene oznake za njih.
Jedinke označene slovom P predstavljaju roditelje, F1 je prva generacija potomaka, a F2 druga generacija potomaka.
Slovo D označava dominantno svojstvo – tamna boja, a slovo R recesivno svojstvo – bijela boja perja.
Kombinacija gena može biti DD, koja će jedinki dati tamnu boju. Kod kombinacije RR boja perja će biti bijela. Kombinacija DR omogućit će sivo obojenje.
- Pogledajte opet tablicu svojstava svoga prijatelja/prijateljice te odredite koje od naslijeđenih svojstva je dominantno, a koje recesivno.
- U kojem slučaju možete pretpostaviti koju kombinaciju alela imaju u svojim stanicama?
- Riješite slijedeći zadatak.
Unesite odgovore na pripadajuća mjesta.
Želite li pokušati ponovo?
Neke su stvari ipak pod našom voljom i utjecajem
Izražaj nekih svojstva može biti i pod utjecajem okoliša.
Tako je već opisan utjecaj Sunčevih zraka na boju kože. Takva promjena naziva se
Pri tim promjenama ništa se u genskom zapisu ne mijenja i nije je moguće prenijeti na potomke.
Primjeri modifikacija prisutni su i u biljnom i životinjskom svijetu.
Polarna lisica kada je ljeto ima krzno crveno smećkaste boje, a za vrijeme zime je bijele boje.
Trajne promjene – mutacije
Ponekad se nasljedni materijal trajno mijenja i tada se govori o
One se mogu dogoditi na razini gena ili čak cijelog dijela kromosoma.
Mutacije mogu biti vidljive – ako se dogode u stanicama koje grade pojedina tkiva ili organe.
Neke će proći nezapaženo – jer se dogode u samo jednoj stanici ili na dijelu molekule DNA koja ne određuje gen. Kakav utjecaj mutacija će biti na sam organizam ili na populaciju ovisi i o tome gdje se mutacije događaju – u kojim stanicama.
Dogode li se u spolnim stanicama, tada postoji mogućnost da se prenesu na potomke. Mutacije u tjelesnim stanicama nisu nasljedne.
Primjeri mutacija
Uzroci koji će potaknuti gene na mutiranje mogu biti različiti.
Mutacije gena mogu se dogoditi za vrijeme prepisivanja nove molekule DNA prema kalupu stare.
Mutacije na kromosomima mogu biti vidljive, i to tako da dijelovi pojedinih kromosoma nedostaju ili čak imaju i višak.
Neke mutacije događaju se same od sebe, bez vidljivih utjecaja.
Sjetite se da smo svi nastali od jedne stanice koja se dijelila i to se događalo milijunima puta.
Pri tome se svaki put prepisivala nasljedna uputa te su se pri tome mogle dogoditi greške.
Zamislimo da u razredu imate samo jedan tiskani udžbenik i za potrebe nastave ga svaki učenik treba prepisati. Ali tako da prvi učenik uzme taj, originalni primjerak i prepiše ga.
Zatim originalni primjerak vrati, a sljedećem učeniku daje na prepisivanje svoj primjerak.
- Kada se cijeli proces završi i kada se usporede početni i ostali primjeri – što će se dogoditi?
Mutacije se mogu dogoditi npr. djelovanjem nekih tvari.
Za te se tvari kaže da su kancerogene.
Tako ulje na kojem se višestruko prži, koje je pri tome promijenilo boju u tamno smeđu, kancerogeno je. Konzumiranje hrane koja je pržena na takvom ulju može potaknuti mutacije u stanicama ili npr. rendgensko zračenje može uzrokovati promjene na genima.
Razmislite:
- U javnosti se često priča o tvarima ili pojavama koje mogu uzrokovati mutacije. Navedite neke od njih.
- Dolazite li osobno u kontakt s tim tvarima?
Bolesti i poremećaji
Tijekom evolucije geni su se mijenjali.
Neka od svojstva koja bi se pri tome pojavljivala bila su poželjna pa su tako neke jedinke imale veće mogućnosti preživljavanja.
Jedinke s tim novonastalim svojstvima tada bi bile poželjnije i imale bi veću vjerojatnost dobivanja potomka i time bi se neka od tih svojstava prenosila kroz generacije.
Razmislite:
- Osim slučajnih mutacija danas se one i namjerno izazivaju različitim tvarima. Pri tome se nastoje dobiti jedinke (biljnih i životinjskih vrsta) koje će biti veće, jače, brže, izdržljivije na određene uvjete. Zašto se to radi?
- Koja je korist od tih genetički izmijenjenih organizama?
- Zašto je to kad se događa u prirodi „normalno“ i ne zabrinjava nas, ali kad se odvija djelovanjem čovjeka zabrinjavajuće je?
Kao posljedica mutacija gena mogu se pojaviti i određene bolesti ili poremećaji.
Jedna od prvih bolesti koje su opisane bila je hemofilija.
To je nasljedna bolest pri kojoj ne dolazi do normalnog zgrušavanja krvi.
Bolest je opisana relativno rano – jer se pojavila u carskim i kraljevskim obiteljima u Europi.
Kako su se o njihovim životima vodile detaljne bilješke, bilo je moguće pratiti i pojavljivanje te bolesti. Kraljica Viktorija bila je prvi opisani prenositelj gena.
Pojava gena i u ostalim obiteljima bila je povezana s činjenicom da su u to vrijeme bile česte međusobne ženidbe prinčeva i princeza na europskim dvorovima.
Tako se hemofilija prenijela u rusku, njemačku i španjolsku kraljevsku obitelj.
Nekada se od hemofilije umiralo, a danas postoje lijekovi za zgrušavanje krvi.
Gen za hemofiliju nalazi se na spolnom kromosomu X i on je recesivan.
Kako žene imaju dva X kromosoma, mala je vjerojatnost da će oba gena uzrokovati poremećaj u zgrušavanju krvi. Zato su žene češće prenosioci bolesti.
Za razliku od toga muškarci imaju samo jedan kromosom X te obolijevaju od te bolesti.
Otkriveno je kako se na kromosomu X nalaze geni za oko 60 različitih bolesti. Za većinu njih žene su najčešće prenosioci, a muškarci obolijevaju.
Poremećaji mogu nastati i ako se poremeti ukupan broj kromosoma u stanici.
Promjena u broju kromosoma
Slika prikazuje djevojčicu s najpoznatijim oblikom trisomije.
O kojem sindromu se radi?
Što znaš o osobama koje imaju prikazani sindrom?
Downov sindrom.
Kao posljedica trisomije 21. kromosoma dolazi do pojave intelektualnih teškoća, niskog rasta, širokog i kratkog vrata te karakterističnog izgleda lica. Osobe s Downovim sindromom imaju izraženih problema i s građom i funkcioniranjem unutarnjih organa. Ipak, treba napomenuti kako su to osobe koje imaju iste potrebe kao i svi drugi: potrebu za pripadnošću, ljubavlju i prijateljstvom.
Dva roditelja ili jedan roditelj?
Razmnožavanje je proces kojim nastaju nove jedinke – potomci.
Ono može biti spolno i nespolno.
Za spolno razmnožavanje neophodna su dva roditelja, a za nespolno samo jedan. Prednost spolnog načina razmnožavanja jest nastanak potomaka koji su, s obzirom na genetički materijal, raznovrsniji. Ali da bi se dva partnera pronašla na istom mjestu u periodu mogućeg parenja treba više energije.
Potomci kod nespolnog razmnožavanja nisu genetički raznovrsni, ali njih nastaje više. Također, samo je jedna roditeljska jedinka potrebna pa se i tu dobiva i na brzini. Potomak nespolnog razmnožavanja naziva se klon.
Neke vrste mogu se razmnožavati i spolno i nespolno.
To je čest slučaj kod biljaka ili mahovina. Tako se npr. od ruže mogu dobiti potomci iz sjemenke koja je nastala nakon oplodnje, ali i iz reznice (dijela stabljike) biljke.
Nespolno razmnožavanje unutar skupine beskralježnjaka nije rijetkost. Kod kralježnjaka je to rjeđe zastupljen oblik razmnožavanja. Postoje neke životinje unutar skupine koje mogu dobiti potomke iz neoplođenih spolnih stanica. Tako se mogu razmnožavati samo neke vrste kralježnjaka, poput nekih macaklina, zmija, te komodski varan ili divlji puran. Ipak, tu su u pitanju izuzetci, a ne pravilo.
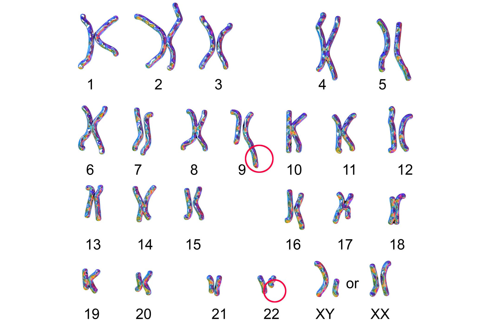
Nasljeđivanje spola
Čovjek u svojim stanicama ima 46 kromosoma.
Njih 44 predstavlja tjelesne kromosome, a 2 su spolna kromosoma. Oni određuju spol osobe.
Tjelesni kromosomi označavaju se brojevima od jedan do dvadeset i dva (1–22), a spolni kromosomi označavaju se slovima. Dva se različita kromosoma pojavljuju u stanicama čovjeka – jedan je veći i nosi oznaku X, a drugi je manji nosi oznaku Y.
- Prikazani kariogram odnosi se na osobu muškog ili ženskog spola? Objasnite.
Mejozom nastaju stanice koje imaju 22 tjelesna kromosoma i jedan spolni kromosom.
Kojeg će spola biti dijete ovisi o tome koje će stanice sudjelovati u oplodnji.
Iz prikazanog križanja, kolika je šansa da nastane ženski potomak?
1/2 ili 50 %.
Kromosom X je tri puta veći od kromosoma Y. Kromosom X sadrži oko 1100 gena, a kromosom Y samo 90 gena. Budući da žene imaju kombinaciju kromosoma XX, one imaju oko 3 % više genetičkog materijala od muškaraca.
Ponekad se dogodi anomalija i rodi se dijete koje ima XO spolne kromosome (znači, nedostaje mu drugi spolni kromosom).
Takve osobe nemaju jajnike, ali imaju razvijene sve ostale ženske spolne organe, kao i sekundarne ženske spolne karakteristike.
Takav poremećaj naziva se Turnerov sindrom.
Daltonizam
Daltonizam je bolest koja se očituje kao nemogućnost raspoznavanja boja.
Prvi ga je opisao engleski znanstvenik John Dalton na temelju vlastitog iskustva, jer je i sam imao problema s raspoznavanjem boja.
Bolest koju je otkrio početkom 19. stoljeća upućivala je na nedostatak receptora za plavu, crvenu ili zelenu boju.
Čovjek ima pet osjetila putem kojih prima informacije iz okoline, ali ipak najviše informacija primamo putem osjeta vida, i to čak 90 %.
Daltonizam dovodi do nepouzdanih i krivih informacija, što utječe na kvalitetu života ljudi koji imaju ovu bolest.
Daltonizam se češće javlja kod muškog spola: 8 % muške populacije Europe su daltonisti, 4 % muške populacije u Africi su daltonisti, a samo 0,4 % žena su daltonistice.
Ljudi s ovom bolesti trpe na svim područjima života te im je onemogućen rad u čak 150 zanimanja. Razmislite koja su to zanimanja.
Daltonizam je nasljedna bolest te se prenosi s roditelja na potomstvo, ali iznimno može biti i posljedica oštećenja očnog živca ili mrežnice oka.
Zdrave osobe razlikuju oko 2000 boja, a daltonisti znatno manje. U muškaraca je bolest 16 puta učestalija nego u žena, što se objašnjava spolnim načinom nasljeđivanja putem X kromosoma.
- Potražite informacije o tome kakve vrste daltonizma postoje i koje su još posljedice ovoga poremećaja.
Za kraj…
Jedan od velikih izazova genetike je liječenje bolesti.
- Navedite bolesti za koje pretpostavljate da bi se mogle preduhitriti u nastajanju na razini gena.
- Kada bi se to „liječenje“ trebalo odvijati?
- Proučite detaljnije o trenutnim mogućnostima liječenja pomoću gena ili korigirajući određene gene te organizirajte debatu za i protiv uplitanja u genetiku djeteta ili izradite T-tablicu na zadanu temu.
Ponovno oživjeti
Tijekom evolucije puno je vrsta izumrlo. Nisu baš sve nestale jer je čovjek utjecao na uvjete u njihovom staništu ili ih prekomjerno izlovljavao. Neke od njih jednostavno više nisu mogle opstati jer su se prirodnim procesima uvjeti izmijenili – npr. pojava ledenih doba i sl.
Ostatci tih izumrlih organizama mogu se pronaći u različitim oblicima – konzervirani, zamrznuti i sl. Dio njihovih ostataka zadržao je u sebi dijelove molekule DNA koji daju dovoljno informacija da je možda moguće oživljavanje tih organizama. Više informacija možete naći u tekstu Mogu li se kloniranjem povratiti izumrle životinje?. Razmislite koje bi posljedice mogle biti takvog oživljavanja organizama koji danas nemaju svoj položaj niti u jednoj ekološkoj niši. Možete izraditi poster u alatu Piktochart te ga prezentirati ostalim učenicima.
Rudimentarni organi su oni koji se smatraju danas zakržljalim, a nekada su imali određenu ulogu. Ponekad se oni ne pojavljuju ni kod svih osoba. Oni upućuju na promjenjivost vrsta. Više informacija pronađite na mrežnim stranicama: Beskorisno evolucijsko nasljeđe -organi koji nam više ne trebaju.
Izradite anketu kojom će te provesti istraživanje o učestalosti pojavljivanja određenih rudimentarnih organa npr. Darwinove kvržice na uhu.



