Carstvo životinja
6.1.Životinjsko carstvo
6.2.Spužve i žarnjaci
6.3.Plošnjaci i oblići
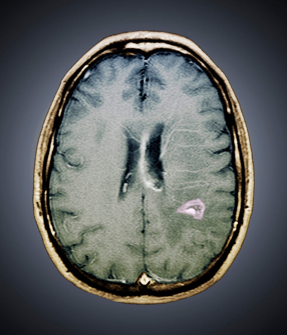
ZARAZA NAMETNIČKIM OBLICIMA


Ciste pasje trakavice mogu narasti do veličine dječje glave, a ispunjene su tekućinom pod tlakom. Ovo je najopasnija vrsta trakavice jer, osim što same ciste veličinom zauzimaju velik dio prostora i vrše pritisak na dijelove pluća i mozga, ciste mogu lako puknuti i time osloboditi na tisuće ličinki koji se vrlo brzo prošire cijelim tijelom.
Na slici je prikazana

Svinjska trakavica – ciste svinjske trakavice mogu dospjeti i u ljudski mozak.

Zavojite trihine uvećane 85x
Ličinke zavojite trihine začahurit će se unutar mišića domaćina i tamo mogu provesti dugo vremena bez aktivnosti. No, ako zaraženo meso pojede drugi organizam, u njemu će se iz čahura osloboditi preko tisuću ličinki koje će sve istovremeno početi putovati u druge organe novog domaćina. To može izazvati snažnu imunološku reakciju organizma, a prodiranje ličinki u mozak ili srce može uzrokovati upalu moždane ili srčane ovojnice.

Na području Afrike i Azije, osobito u ljudi koji žive u nehigijenskim uvjetima, česta je zaraza oblićem koji uzrokuje bolest elefantijazu. Taj oblić živi kao parazit u limfnom sustavu čovjeka pa tako izaziva upalu limfnih žila i masivne otekline vezivnog tkiva u dijelovima tijela domaćina.
Slika prikazuje elefantijazu u nozi čovjeka.
6.4.Mekušci
6.5.Spužve, žarnjaci, plošnjaci, oblići i mekušci – znati, razumjeti i primijeniti
6.6.Kolutićavci
6.7.Člankonošci
6.8.Bodljikaši
6.9.Kolutićavci, člankonošci i bodljikaši – znati, razumjeti i primijeniti
6.10.Svitkovci
6.11.Ribe
PERAJE NEKIH VRSTA RIBA

Parne peraje nekih hrskavičnjača, poput ove raže, uvećane su i spojene s tijelom. Njihovim valovitim kretnjama riba stvara potisak umjesto repnom perajom.

Parne peraje nekih riba, poput resoperki, služe za puzanje po morskom dnu.

Prsne peraje letećih riba izduljene su i omogućuju kratkotrajno lebdenje iznad površine mora.

Neke dubokomorske ribe imaju jednu leđnu peraju promijenjenu u udicu. Bioluminiscentnim vrhom privlači plijen u dubinskom mraku.
Raznolikost riba hrskavičnjača




6.12.Vodozemci
Skupine vodozemaca



PREDSTAVNICI VODOZEMACA U REPUBLICI HRVATSKOJ






Veliki vodenjak naša je najveća vrsta vodenjaka jer naraste oko 16 cm dužine.
6.13.Gmazovi
6.14.Ptice
LET PTICA



PREHRANA PTICA

Ptice koje se hrane ribama, poput ovog vodomara, imaju izduljen kljun.

Ptice grabljivice, poput ovog škanjca, imaju oštar kljun zašiljen prema dolje.

Vrapci imaju kratak, ali zadebljao kljun prilagođen za prehranu sjemenkama i drugom biljnom hranom.

Kukcojedne ptice, poput ovog crvendaća, imaju kratke i uske kljunove.

Patke i druge ptice koje se hrane u vodenim staništima imaju plosnate kljunove kojima mogu profiltrirati hranu iz vode, a hrane se najčešće podvodnim biljkama i njihovim korijenjem te manjim beskralježnjacima.
6.15.Sisavci
NEKE TVORBE OD KERATINA KOD SISAVACA

Točkasto krzno leopardu omogućava da se prikriveno približi plijenu u svome okolišu.

Mnogi sisavci umjerenih krajeva, poput jelena, mijenjaju dlaku prije ljeta i prije zime. Zimi tako nose gusto krzno sive boje, a ljeti prozračnije krzno smeđe boje. Zašto su sive nijanse krzna češće zimi?

Brkovi rastu na njušci i licu mnogih sisavaca i vrlo su osjetljivi na dodir.

Kitovi usani umjesto zubiju u ustima imaju četkaste usi kojima filtriraju plankton iz vode.
KRETANJE SISAVACA

Vukovi hodaju na prstima, što im daje karakterističan izgled stražnjih nogu. Ono što mnogima izgleda poput unazad usmjerenog koljena, zapravo je peta.

Konji hodaju na vrhu kopita jedinog prsta noge.

Mnogi primati koriste prednji par udova za hranjenje. Oni koji žive u krošnjama imaju spretan rep koji koriste za kretanje i ravnotežu.

Krtice snažnim prednjim udovima kopaju svoje podzemne nastambe. Oči su im zakržljale jer im u mračnim nastambama nisu potrebne.

Letnica na krilu šišmiša proteže se od vrha prstiju do ramena i nogu.

Kitovi i dupini dišu jedino kroz nosnice koje im se nalaze na vrhu glave.